審美歯科

🦷 審美歯科とは?
審美歯科は、歯や口元の見た目の美しさに重点を置いた歯科治療です。
歯の白さや形、歯並び、歯ぐきのバランスなどを整え、自然で健康的な笑顔を目指します。
🪥 一般歯科との違いは?
一般歯科が「むし歯や歯周病の治療・予防」を中心とするのに対し、
審美歯科は「見た目の美しさ+機能性」を両立させる治療を行います。
ただし、見た目だけに偏った治療ではなく、しっかり噛めることや歯の健康も大切にしています。
✨審美歯科の主な治療メニュー
1. ホワイトニング➡️
専用の薬剤で歯を白くする治療。歯を削らずに、自然な白さを目指します。
2. セラミック治療
銀歯や変色した歯を、白くて自然な見た目のセラミックに替える治療です。見た目の美しさと機能性を両立します。
3. 歯肉ピーリング(歯ぐきのホワイトニング)➡️
歯ぐきの黒ずみを改善し、健康的で明るいピンク色の歯ぐきを取り戻します。
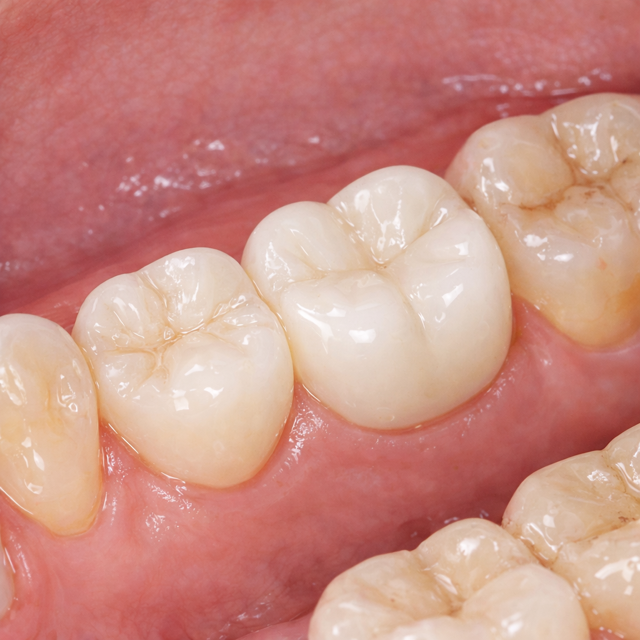
✨セラミック治療
セラミック治療とは?
セラミック治療は、見た目が自然で、虫歯になりにくい素材を使った被せ物(クラウン)や詰め物の治療です。
当院では、神経を取った歯や、大きく削った歯に対して、セラミックをおすすめすることがあります。
セラミック治療の種類と特徴
当院では、歯の状態や治療部位に合わせて、以下のようなセラミック素材をご用意しています。
■ ジルコニアインレー(詰め物)

¥55,000〜(税抜)
虫歯などで削った部分に詰める、小さなセラミックのパーツです。 白くて目立たず、金属アレルギーの心配もありません。 奥歯の小さな虫歯治療に適しています。
• ◎ 自然な見た目で目立ちにくい
• ◎ 金属不使用で安心
• ◎ 高い耐久性と適合性
• △ 保険適用外(自由診療)
■ ジルコニアクラウン(被せ物)
¥100,000〜(税抜)
歯全体を覆うタイプの被せ物です。 非常に硬くて丈夫な素材で、奥歯など噛む力が強くかかる部分に適しています。
• ◎ 高い強度と耐久性
• ◎ 金属アレルギーの心配なし
• ○ 自然な見た目(やや透明感は控えめ)
■ ジルコニアボンドクラウン(被せ物)

¥120,000〜(税抜)
内側にジルコニア、外側に透明感のあるセラミックを焼き付けた被せ物。 見た目の美しさと強度を両立しており、前歯など審美性が求められる部位に適しています。
• ◎ 天然歯のような透明感と美しさ
• ◎ 高い強度で長持ち
• △ 外側のセラミックが欠ける可能性がある(強い衝撃時)
•セラミック治療のメリット
・自然な見た目:白くて透明感があり、天然の歯に近い仕上がりです
・虫歯になりにくい:セラミックは汚れがつきにくく、再発リスクが低いです
・歯にやさしい硬さ:天然の歯に近い硬さで、かみ合わせのバランスが保ちやすく、段差ができにくいです
・長持ちしやすい:丁寧に使えば20〜30年と長く使えることもあります
•セラミック治療のデメリット
・保険がきかない:自由診療のため、費用が高くなる場合があります
・繋ぎ目のケアが大切:どんなに精密に作っても、歯との境目にはわずかな段差ができるため、日々の歯みがきが重要です
✨医院からのひとこと
当院では、患者さまお一人おひとりのお口の状態やご希望に合わせて、最適な治療方法をご提案しております。
セラミック治療は、見た目の美さはもちろん、機能性や耐久性にも優れた選択肢です。
銀歯は非常に硬いため、時間の経過とともにご自身の歯との間に段差ができやすく、虫歯が再発するリスクがあることも知られています。
一方、セラミックは歯にやさしい素材で、自然な見た目とともに、長く健康な状態を保ちやすいという特長があります。
そのため、将来を見据えた治療として、多くの患者さまにおすすめしています。
なお、治療内容はお口の状態や使用する素材、補綴物の種類によって異なるため、治療費も症例ごとに変動いたします。
事前にしっかりとご説明し、ご納得いただいたうえで治療を進めてまいりますので、どうぞご安心ください。
ご不明な点やご不安なことがありましたら、いつでもお気軽にご相談くださいね。
