歯周病
歯周病とは
歯周病は、細菌による感染症であり、生活習慣病のひとつです。
自覚症状がほとんどないまま、慢性的な炎症が続き、気づいたときにはすでに進行していることも少なくありません。
症状が出たときには、すでに手遅れになっているケースもある――それが歯周病の怖さです。
だからこそ、早期発見・早期治療、そして予防の継続がとても大切です。
一度進行してしまった歯周病は、元の状態に戻すことはできません。
ですが、健康なうちから予防に取り組むことで、歯ぐきや歯を守ることができます。
すでに歯周病にかかってしまった方も、病状の安定・現状維持・進行の抑制は可能です。
大切なのは、「今」から始めること。
私たちと一緒に、未来の歯を守っていきましょう。
歯周病の進行
・歯周病菌はお口の中の血管を通って全身疾患に関与します

歯周病治療の流れ
① プラークコントロール(歯磨き指導、自宅での歯磨きの徹底)・歯石除去、歯のクリーニング
・お口の中のプラーク(歯垢)の量を20%未満(PCR)になるよう、目指します。20%未満の量であると、歯周病・虫歯のリスクが非常に小さくなると言われています。
② スケーリング・ルートプレーニング

・歯肉に隠れている歯の根に付いた歯石・細菌の除去をします。
③ 歯周病手術
・進行した歯周病で、治癒の悪い場合には、歯肉の手術が必要になる場合もあります。
歯周組織再生療法
歯周病で破壊された歯周組織の再生を促進する治療法です。
歯を支える顎の骨を再生する「リグロス」という薬を使います。
・歯周病で破壊された歯を支える顎の骨の再生を促すので、歯を支えられるようになり、大切な
天然歯を残せる可能性が高まります。
・歯は揺らされると歯周病が進行します。リグロスを使用して歯の揺れが治まれば、歯周病の進
行を抑えられます。


④ 定期的なメンテナンス(検診、PMTC)


・歯周病が安定してきたら、あとはその状態を維持していくために1ヶ月半~2ヶ月に一度の間隔で、メンテナンス(健診、普段の歯磨きでは落としきれない歯垢のクリーニング)を行います。
・歯周病の病状が落ち着いたら終わりではありません。いい状態を維持していくためにはこのメンテナンスの継続が非常に大切です。
ここを怠ると、歯周病が再度進行してしまい、今までの治療が無駄になってしまいます。
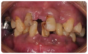
症例①
【初診時】
:年齢:30代前半
:状態:軽度歯周炎、喫煙あり、基礎疾患無し
:治療:ブラッシング指導、禁煙指導、スケーリング、ルートプレーニング、安定してからは2ヶ月ごとのメンテナンス(喫煙なし)

